Ventricular Septal Defect (VSD)

From Echopedia
Jump to navigation Jump to search

Subdivision

The ventricular septal defect is a common congenital heart defect. Although spontaneous closure is seen less frequently in adulthood.

The VSDs are divided into three groups:

  • Perimembranous.
  • Muscular
  • Subarterial

VSD01.svg

The supracristal outlet VSD is called subarterial VSD. In subarterial VSD, the lack of a portion of the outlet septum to support the aortic valve cusp of the aortic valve causes VSD to sag and be covered. As a result the aortic valve insufficiency arises. This can sometimes be a sign for a small subarterial VSD.

In a perimembraneus VSD the septal leaflet of the tricuspid valve can close the defect (in part), the result may be implied that a septal aneurysm is present.

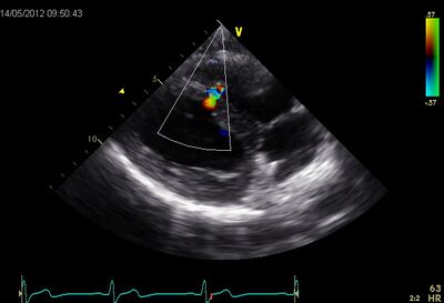
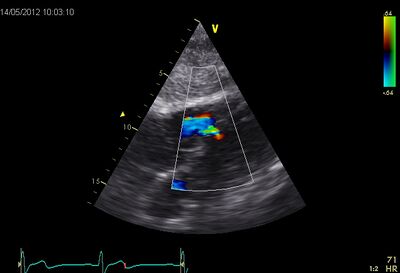
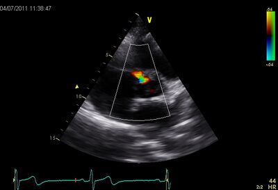
Echocardiographic views

VSD.jpg VSD02.jpg
Muscular VSD tilted by PLAX Muscular VSD Subcostal 4CH
VSD09.jpg VSD10.jpg
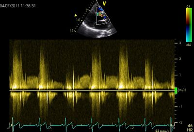
Perimembraneus VSD PSAX Ao CW perimembraneus VSD PLAX

Effects of VSD

The shunt by the VSD is determined by the size of the VSD , and the pressure differences between the right and left side of the heart. In a large VSD ( aortic valve area) there will be no obstacle to flow, the pressure in left and right heart will almost be the same. If there is (still) no resistance pulmonary hypertension occurred the shunt will be great. In adulthood, there will almost always be a resistance pulmonary hypertension they occurred. As a result, there will be virtually no shunt or bidirectional shunt will occur (Eisenmenger syndrome).

In moderately large VSD shunt a moderately large (> 1:2) will if there is no resistance pulmonary hypertension occurred present no load volume for the left heart and manifests itself in increasing left atrium and left ventricle.

In a small VSD , there will be a small load shunt are without any significant volume of the left heart half.1

References

<biblio>

  1. 1 B.J.M. Mulder, P.G.Pieper, S.E.C. Spitaels and F.W.A. rejoice, "Congenital heart disease in adults" and "Congenital heart defects in adults", Edited by BJMMulder, PGPieper and SECSpitaels. 199bl., Figs, tables. Bohn Stafleu From Loghum, Wood 1999. ISBN 90-313-2784-0 Ned Tijdschr Geneeskd. 1999;143:2219

</biblio>