Case 141

From Echopedia
Revision as of 05:01, 22 February 2016 by Nilofer (talk | contribs)
Jump to navigation Jump to search
Tenting of mitral valve
Courtesy of: AMC Echolab, AMC, The Netherlands
<html5media height="350" width="279" autoplay="true" loop="true">File:E00744.mp4</html5media> <html5media height="350" width="279" autoplay="true" loop="true">File:E00745.mp4</html5media>
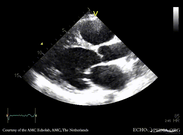
PLAX: dilated left ventricle, poor function, tenting of mitral valve PLAX with Color Doppler: severe mitral valve regurgitation
Magnifier.pngenlarge

Ppt logo.pngdownload file to use in your powerpoint presentation

Magnifier.pngenlarge

Ppt logo.pngdownload file to use in your powerpoint presentation

<html5media height="350" width="279" autoplay="true" loop="true">File:E00746.mp4</html5media> <html5media height="350" width="279" autoplay="true" loop="true">File:E00747.mp4</html5media>
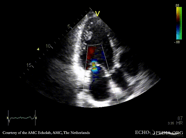
A4CH A4CH with Color Doppler: severe mitral valve regurgitation
Magnifier.pngenlarge

Ppt logo.pngdownload file to use in your powerpoint presentation

Magnifier.pngenlarge

Ppt logo.pngdownload file to use in your powerpoint presentation

<html5media height="350" width="279" autoplay="true" loop="true">File:E00748.mp4</html5media> <html5media height="350" width="279" autoplay="true" loop="true">File:E00749.mp4</html5media>
A3CH A3CH with Color Doppler: severe mitral valve regurgitation
Magnifier.pngenlarge

Ppt logo.pngdownload file to use in your powerpoint presentation

Magnifier.pngenlarge

Ppt logo.pngdownload file to use in your powerpoint presentation