Case 141

From Echopedia
Jump to navigation Jump to search
Tenting of mitral valve
Courtesy of: AMC Echolab, AMC, The Netherlands
E00744.gif E00745.gif
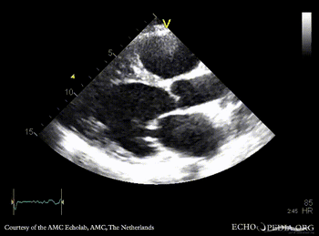
PLAX: dilated left ventricle, poor function, tenting of mitral valve PLAX with Color Doppler: severe mitral valve regurgitation
Magnifier.pngenlarge

Ppt logo.pngdownload file to use in your powerpoint presentation

Magnifier.pngenlarge

Ppt logo.pngdownload file to use in your powerpoint presentation

E00746.gif E00747.gif
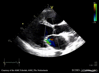
A4CH A4CH with Color Doppler: severe mitral valve regurgitation
Magnifier.pngenlarge

Ppt logo.pngdownload file to use in your powerpoint presentation

Magnifier.pngenlarge

Ppt logo.pngdownload file to use in your powerpoint presentation

E00748.gif E00749.gif
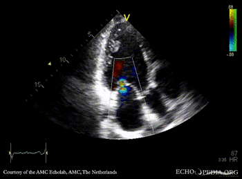
A3CH A3CH with Color Doppler: severe mitral valve regurgitation
Magnifier.pngenlarge

Ppt logo.pngdownload file to use in your powerpoint presentation

Magnifier.pngenlarge

Ppt logo.pngdownload file to use in your powerpoint presentation