Case 100

From Echopedia
Jump to navigation Jump to search
Marfan Syndrome
Courtesy of: AMC Echolab, AMC, The Netherlands
E00551.gif
E00552.jpg
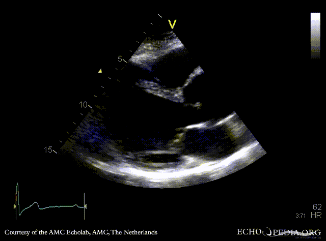
PLAX: dilated aortic root PLAX: 2-D measurement of aortic root
Magnifier.pngenlarge

Ppt logo.pngdownload file to use in your powerpoint presentation

E00553.jpg
E00554.gif
M-Mode through aortic root PLAX with Color Doppler: moderate aortic regurgitation
Magnifier.pngenlarge

Ppt logo.pngdownload file to use in your powerpoint presentation

E00555.gif
E00556.jpg
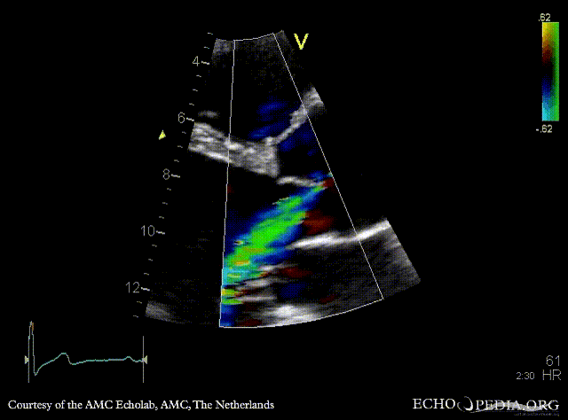
PSAX with Color Doppler: moderate aortic regurgitation Suprasternal view
Magnifier.pngenlarge

Ppt logo.pngdownload file to use in your powerpoint presentation