| Marfan Syndrome
|
|
|
| Courtesy of: AMC Echolab, AMC, The Netherlands
|
|
|
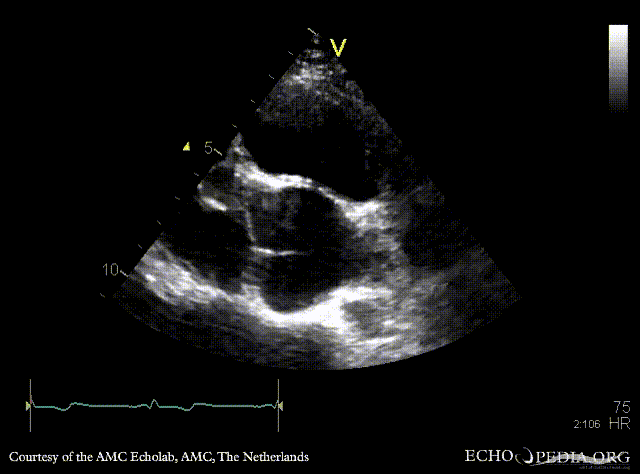
| PLAX: dilated aortic root, redundant mitral valve leaflets
|
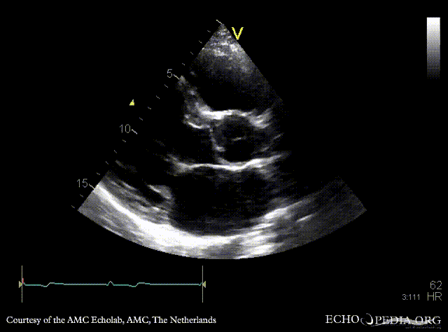
PLAX: dilated aortic root
|
enlarge
download file to use in your powerpoint presentation
|
enlarge
download file to use in your powerpoint presentation
|
|
|
|
|
| PLAX with Color Doppler: mild mitral regurgitation
|
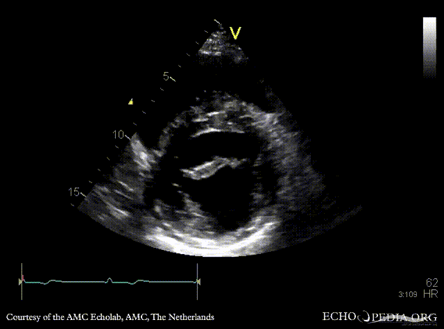
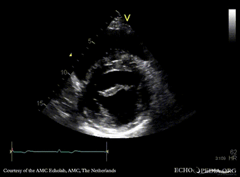
PSAX: redundant mitral valve leaflets
|
enlarge
download file to use in your powerpoint presentation
|
enlarge
download file to use in your powerpoint presentation
|
|
|
|
|
| A4CH
|
A2CH
|
enlarge
download file to use in your powerpoint presentation
|
enlarge
download file to use in your powerpoint presentation
|
|
|
|
|
| A3CH
|
Suprasternal view
|
enlarge
download file to use in your powerpoint presentation
|
enlarge
download file to use in your powerpoint presentation
|
|
|
|
|
| A4CH with Color Doppler: mild mitral regurgitation
|
|
enlarge
download file to use in your powerpoint presentation
|
|