Case 103
Jump to navigation
Jump to search
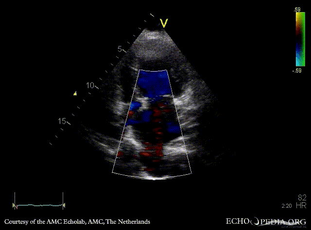
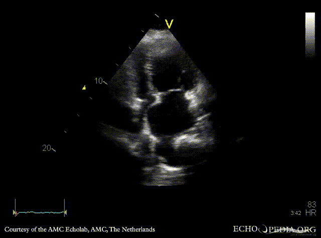
| Courtesy of: AMC Echolab, AMC, The Netherlands | |
| A4CH: dilated pulmonary veins | A4CH with Color Doppler |