Case 104

From Echopedia
Jump to navigation Jump to search
Abnormal pulmonary vein drainage
Courtesy of: AMC Echolab, AMC, The Netherlands
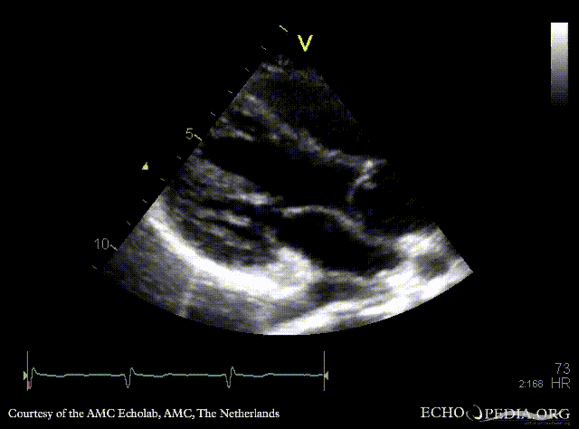
E00576.gif E00577.gif
PLAX: dilated coronary sinus PLAX with Color Doppler: pulmonary vein drainage into coronary sinus, connection with left atrium
Magnifier.pngenlarge

Ppt logo.pngdownload file to use in your powerpoint presentation

Magnifier.pngenlarge

Ppt logo.pngdownload file to use in your powerpoint presentation

E00578.jpg
E00579.gif
Pulsed-wave signal of pulmonary veins flow PSAX: dilated coronary sinus
Magnifier.pngenlarge

Ppt logo.pngdownload file to use in your powerpoint presentation

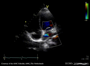
E00580.gif E00581.gif
PSAX with Color Doppler A3CH with Color Doppler
Magnifier.pngenlarge

Ppt logo.pngdownload file to use in your powerpoint presentation

Magnifier.pngenlarge

Ppt logo.pngdownload file to use in your powerpoint presentation

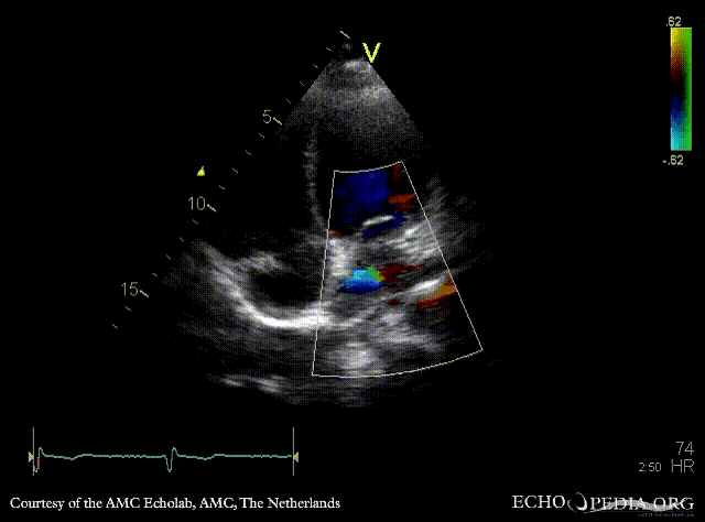
E00582.gif
A4CH with Color Doppler
Magnifier.pngenlarge

Ppt logo.pngdownload file to use in your powerpoint presentation