Case 114

From Echopedia
Jump to navigation Jump to search
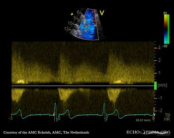
Open ductus Botalli
Courtesy of: AMC Echolab, AMC, The Netherlands
E00643.gif
E00644.jpg
Suprasternal view with Color Doppler Pulsed-wave doppler signal of flow in ductus Botalli
Magnifier.pngenlarge

Ppt logo.pngdownload file to use in your powerpoint presentation