Case 126

From Echopedia
Jump to navigation Jump to search
Perimembraneous VSD
Courtesy of: AMC Echolab, AMC, The Netherlands
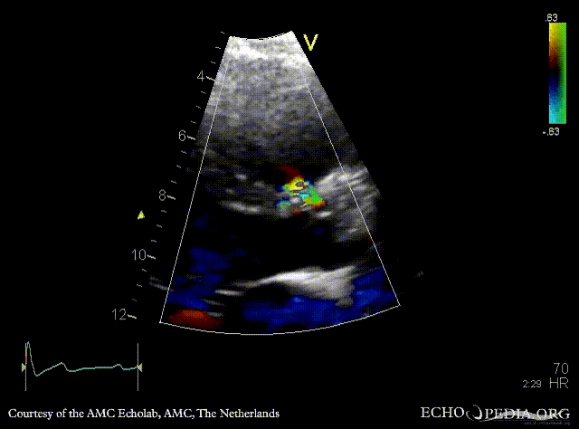
E00681.gif
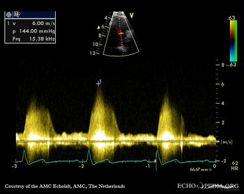
E00682.jpg
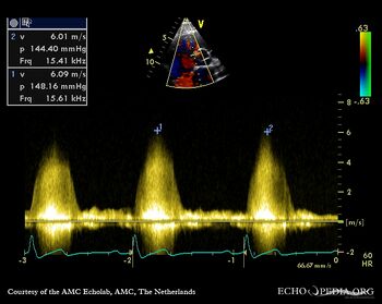
PSAX with Color Doppler Continuous-wave Doppler signal of flow through ventricular septum defect
Magnifier.pngenlarge

Ppt logo.pngdownload file to use in your powerpoint presentation

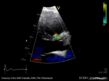
E00683.gif
E00684.jpg
PLAX with Color Doppler Continuous-wave Doppler signal of flow through ventricular septum defect
Magnifier.pngenlarge

Ppt logo.pngdownload file to use in your powerpoint presentation

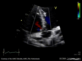
E00685.gif
A5CH with Color Doppler
Magnifier.pngenlarge

Ppt logo.pngdownload file to use in your powerpoint presentation