Case 13
From Echopedia
Jump to navigation
Jump to search
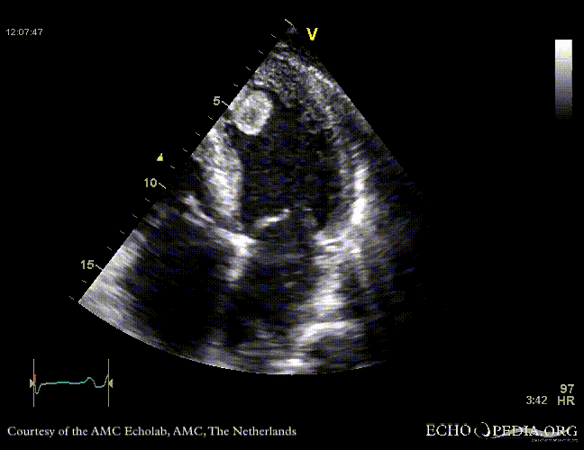
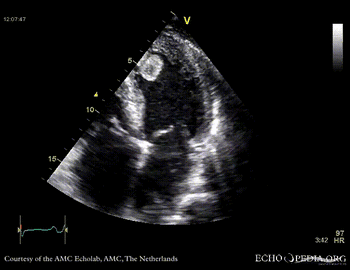
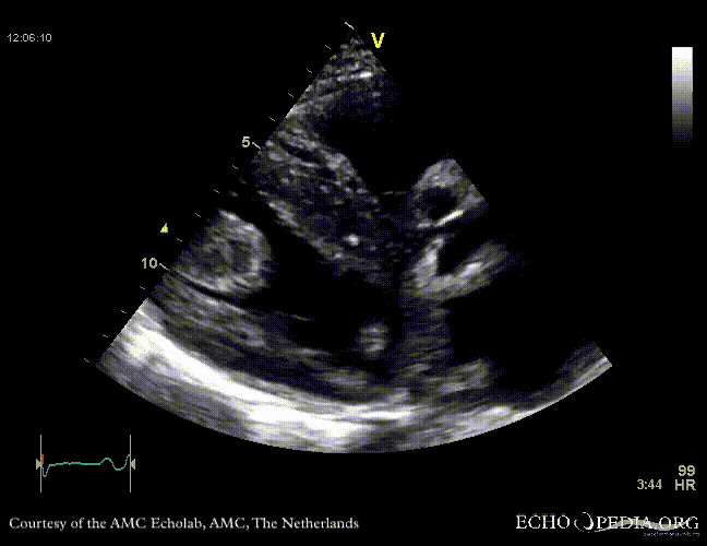
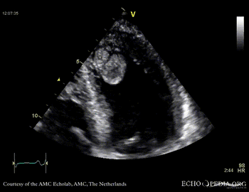
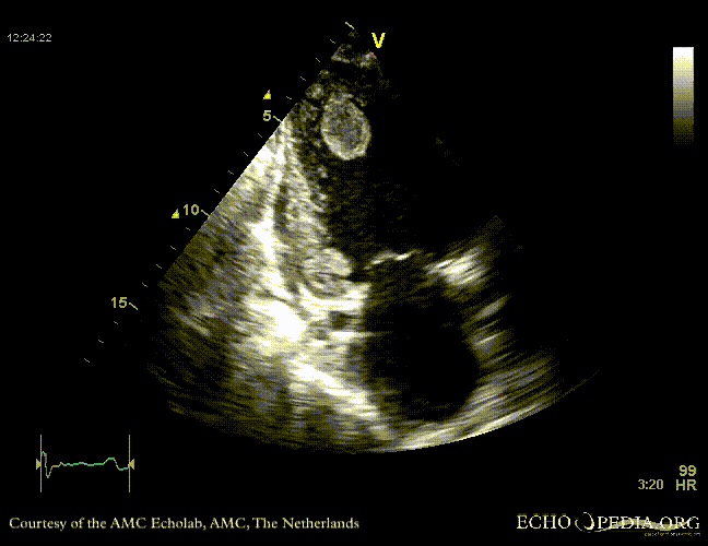
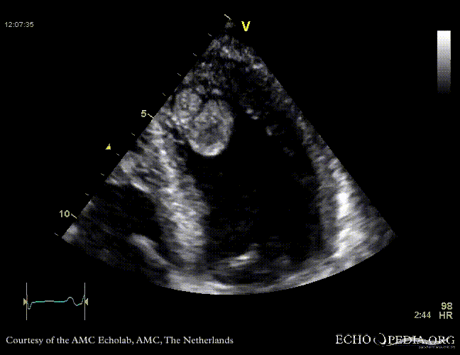
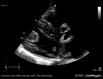
Thrombus in the left ventricle
Courtesy of:
J. Vleugels, AMC, The Netherlands
stolsel3
stolsel4
enlarge
download file to use in your powerpoint presentation
enlarge
download file to use in your powerpoint presentation
stolsel7
stolsel8
enlarge
download file to use in your powerpoint presentation
enlarge
download file to use in your powerpoint presentation
Navigation menu
Personal tools
Log in
Namespaces
Page
Discussion
English
Views
Read
View source
View history
More
Search
Navigation
Main Page
ECHO Course
Textbook
Cases and Examples
about echopedia
Disclaimer
Contact
Frequently Asked Questions
Recent changes
cardionetworks sites
ECGpedia
PCIpedia
Tools
What links here
Related changes
Special pages
Printable version
Permanent link
Page information
Cite this page