Case 135

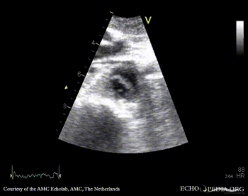
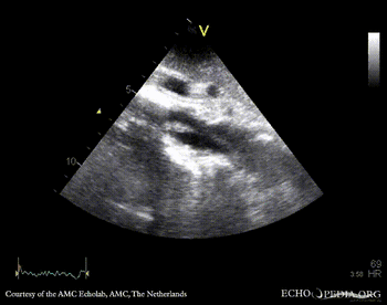
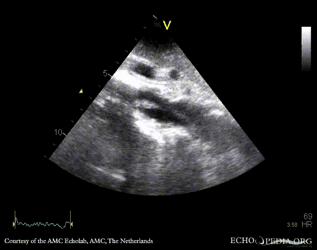
Mobile structure in abdominal aorta
Courtesy of: AMC Echolab, AMC, The Netherlands
E00720.gif E00721.gif
Subcostal view: mobile structure (thrombus) in abdominal aorta Subcostal view: mobile structure (thrombus) in abdominal aorta
Magnifier.pngenlarge

Ppt logo.pngdownload file to use in your powerpoint presentation

Magnifier.pngenlarge

Ppt logo.pngdownload file to use in your powerpoint presentation

E00722.gif
Subcostal view: mobile structure (thrombus) in abdominal aorta
Magnifier.pngenlarge

Ppt logo.pngdownload file to use in your powerpoint presentation