Case 137
Jump to navigation
Jump to search
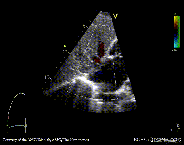
| Courtesy of: AMC Echolab, AMC, The Netherlands | |
| Subcostal view | Subcostal view with color doppler |