Case 147

From Echopedia
Jump to navigation Jump to search
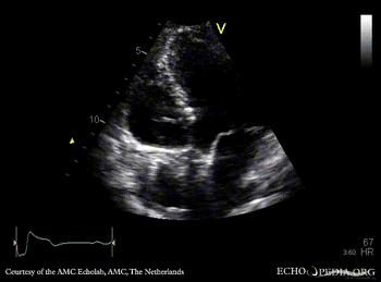
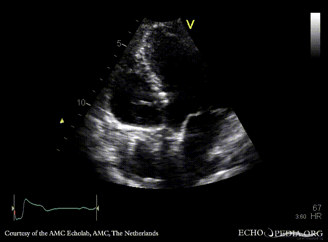
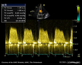
Tricuspid valve stenosis
Courtesy of: AMC Echolab, AMC, The Netherlands
E00768.gif
E00769.jpg
A4CH: doming of tricuspid valve leflets, pacemaker lead in situ Continuous-wave Doppler signal of transtricuspid flow
Magnifier.pngenlarge

Ppt logo.pngdownload file to use in your powerpoint presentation