Case 150
Jump to navigation
Jump to search
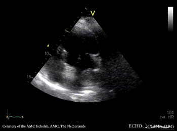
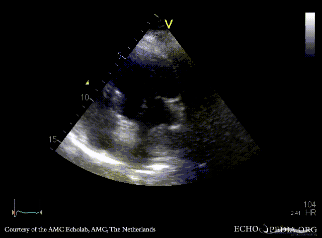
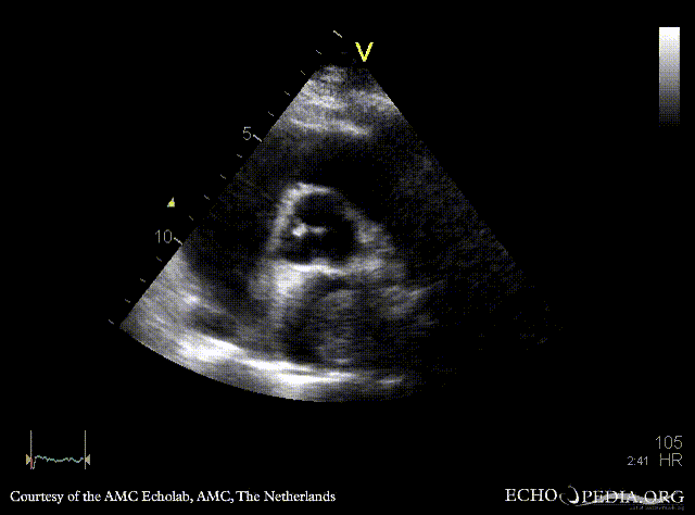
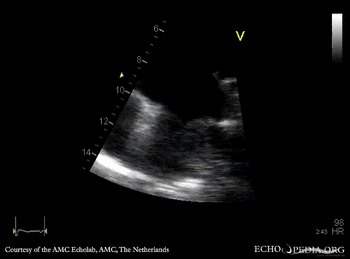
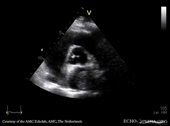
| Courtesy of: AMC Echolab, AMC, The Netherlands | |
| PSAX: tumor mass in left atrium | A4CH |
| A4CH, zoom | |