Case 151

From Echopedia
Jump to navigation Jump to search
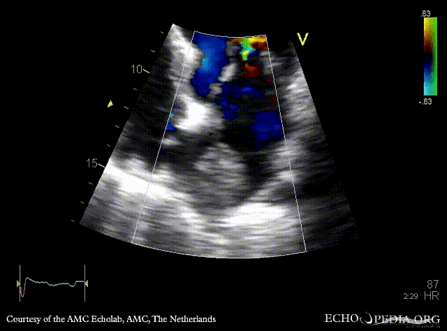
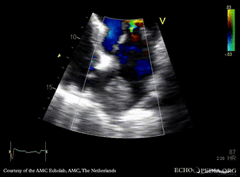
Tumor growing into the left atrium
Courtesy of: AMC Echolab, AMC, The Netherlands
E00786.gif E00787.gif
A4CH: tumor growing from pulmonary vein into the left atrium in patient with lung carcinoma A4CH, zoom
Magnifier.pngenlarge

Ppt logo.pngdownload file to use in your powerpoint presentation

Magnifier.pngenlarge

Ppt logo.pngdownload file to use in your powerpoint presentation