Case 154

From Echopedia
Jump to navigation Jump to search
Endocarditis of aortic valve
Courtesy of: AMC Echolab, AMC, The Netherlands
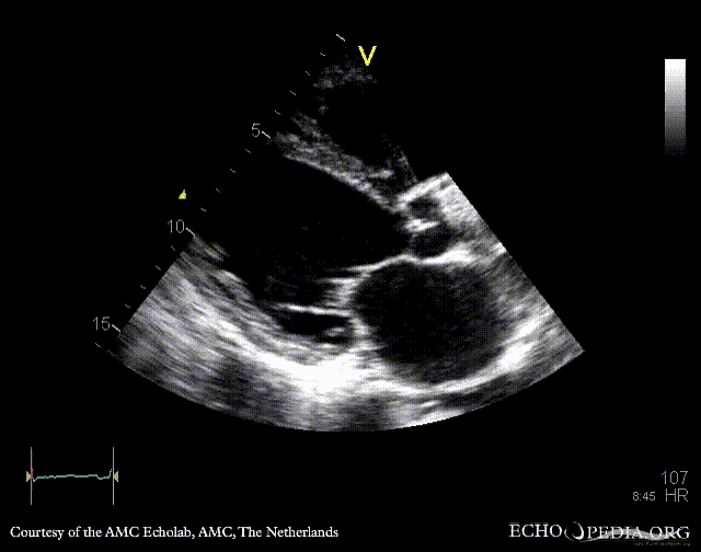
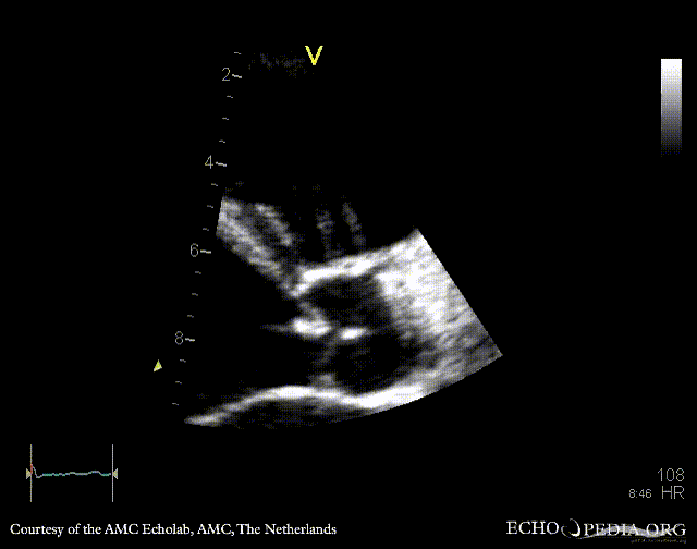
E00802.gif E00803.gif
PLAX: dilated left ventricle, poor function, vegetation on aortic valve PLAX with zoom: vegetation on aortic valve
Magnifier.pngenlarge

Ppt logo.pngdownload file to use in your powerpoint presentation

Magnifier.pngenlarge

Ppt logo.pngdownload file to use in your powerpoint presentation

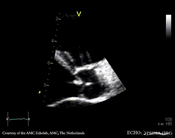
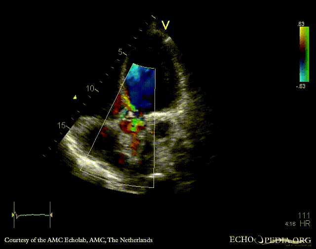
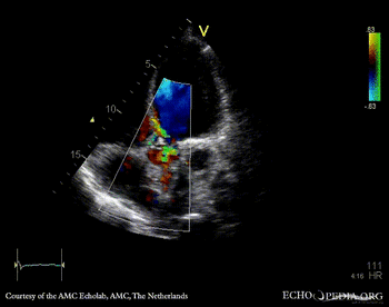
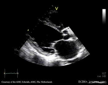
E00804.gif E00805.gif
PLAX with Color Doppler: severe aortic regurgitation A4CH: dilated atria and ventricles, poor function of left ventricle
Magnifier.pngenlarge

Ppt logo.pngdownload file to use in your powerpoint presentation

Magnifier.pngenlarge

Ppt logo.pngdownload file to use in your powerpoint presentation

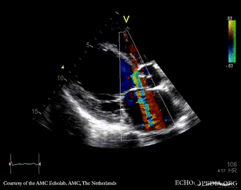
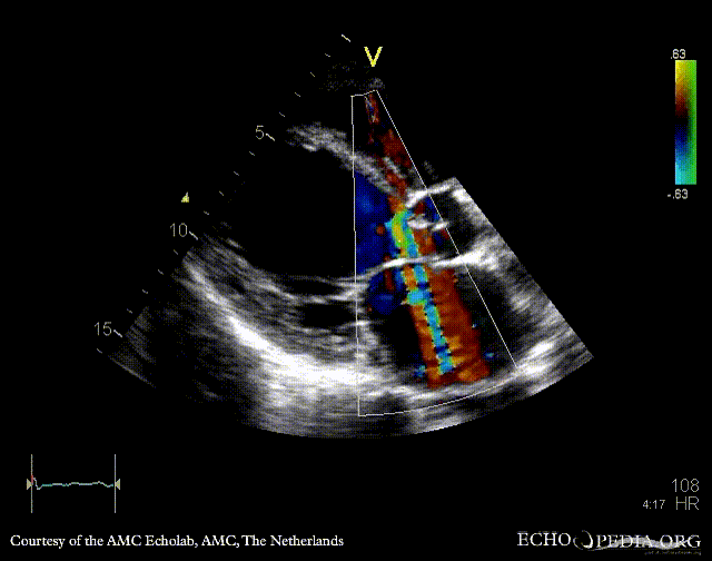
E00806.gif E00807.gif
A5CH: vegetation on aortic valve A5CH with Color Doppler: severe aortic regurgitation
Magnifier.pngenlarge

Ppt logo.pngdownload file to use in your powerpoint presentation

Magnifier.pngenlarge

Ppt logo.pngdownload file to use in your powerpoint presentation

E00808.jpg
Pulsed-wave Doppler signal of flow in abdominal aorta: holodiastolic flow reversal