Case 156

From Echopedia
Jump to navigation Jump to search
Four prosthetic valves
Courtesy of: AMC Echolab, AMC, The Netherlands
E00817.gif E00818.gif
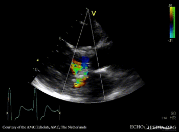
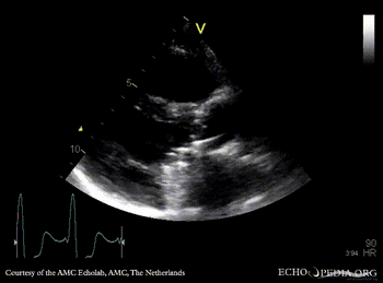
PLAX: mitral valve prosthesis and aortic valve prosthesis PLAX with Color Doppler
Magnifier.pngenlarge

Ppt logo.pngdownload file to use in your powerpoint presentation

Magnifier.pngenlarge

Ppt logo.pngdownload file to use in your powerpoint presentation

E00819.gif E00820.gif
A4CH: mitral valve prosthesis and tricuspid valve prosthesis A5CH with Color Doppler
Magnifier.pngenlarge

Ppt logo.pngdownload file to use in your powerpoint presentation

Magnifier.pngenlarge

Ppt logo.pngdownload file to use in your powerpoint presentation

E00821.jpg
E00822.jpg
Continuous-wave Doppler signal of transaortic flow Pulsed-wave Doppler signal of flow in left ventricle outflow tract
E00823.jpg
E00824.gif
Continuous-wave Doppler signal of transmitral flow A4CH with Color Doppler: transtricuspid flow
Magnifier.pngenlarge

Ppt logo.pngdownload file to use in your powerpoint presentation

E00825.jpg
E00826.gif
Continuous-wave Doppler signal of transtricuspid flow PSAX: pulmonary valve prosthesis
Magnifier.pngenlarge

Ppt logo.pngdownload file to use in your powerpoint presentation