Case 157

From Echopedia
Jump to navigation Jump to search
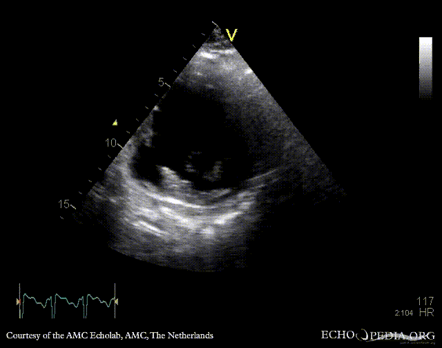
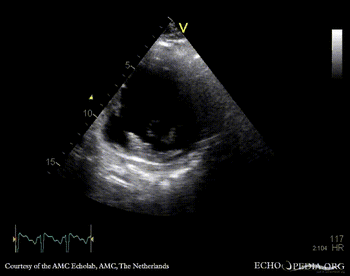
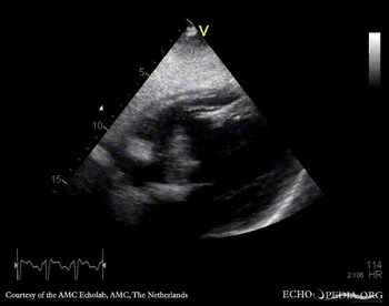
Free wall rupture of left ventricle
Courtesy of: AMC Echolab, AMC, The Netherlands
E00829.gif E00830.gif
Subcostal view: septal rupture PSAX: septal rupture
Magnifier.pngenlarge

Ppt logo.pngdownload file to use in your powerpoint presentation

Magnifier.pngenlarge

Ppt logo.pngdownload file to use in your powerpoint presentation

E00831.gif
PSAX with Color Doppler: flow through septal rupture
Magnifier.pngenlarge

Ppt logo.pngdownload file to use in your powerpoint presentation