Case 162

From Echopedia
Jump to navigation Jump to search
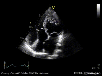
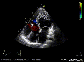
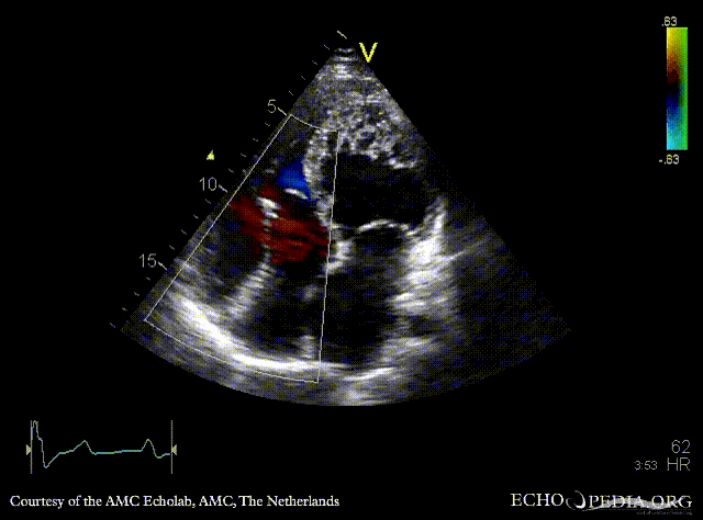
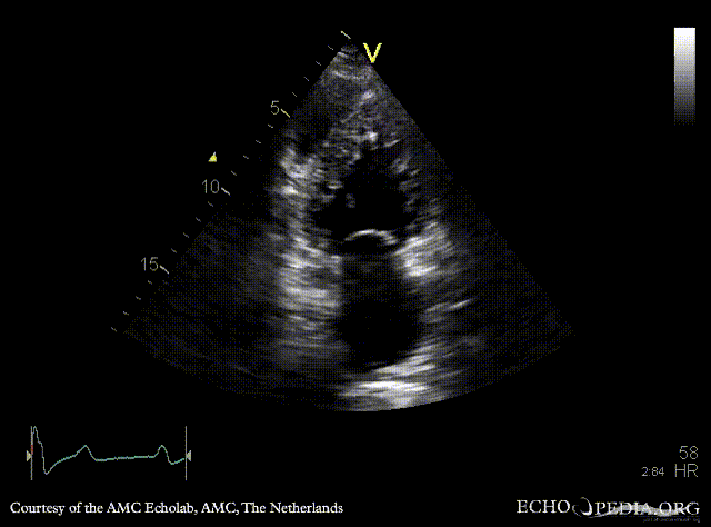
Ebstein anomaly and non-compaction cardiomyopathy
Courtesy of: AMC Echolab, AMC, The Netherlands
E00849.gif E00850.gif
A4CH: high insertion of tricuspid valve, dilated right atrium and right ventricle, non-compaction of left ventricle A4CH with Color Doppler: severe tricuspid regurgitation
Magnifier.pngenlarge

Ppt logo.pngdownload file to use in your powerpoint presentation

Magnifier.pngenlarge

Ppt logo.pngdownload file to use in your powerpoint presentation

E00851.jpg
E00852.gif
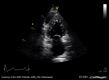
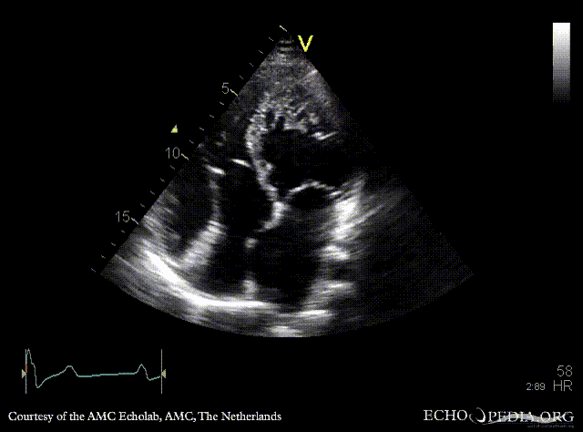
Continuous-wave Doppler signal of tricuspid regurgitation, pulmonary hypertension A2CH: non-compaction of left ventricle
Magnifier.pngenlarge

Ppt logo.pngdownload file to use in your powerpoint presentation