Case 164

From Echopedia
Jump to navigation Jump to search
Stenosis of aortic valve
Courtesy of: AMC Echolab, AMC, The Netherlands
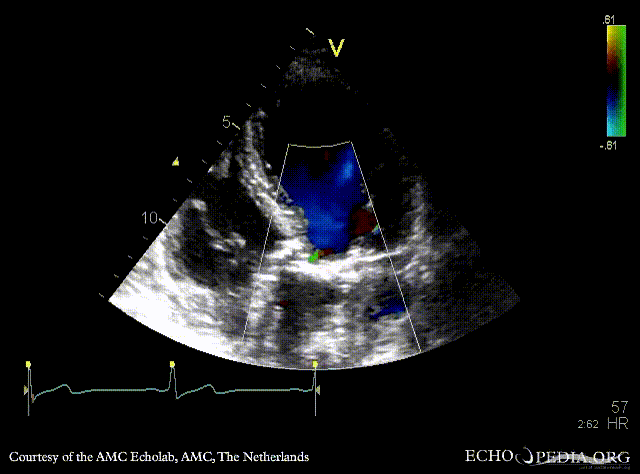
E00860.gif E00861.gif
PLAX: stenotic aortic valve, left ventricle hypertrophy PLAX with Color Doppler: mild aortic regurgitation
Magnifier.pngenlarge

Ppt logo.pngdownload file to use in your powerpoint presentation

Magnifier.pngenlarge

Ppt logo.pngdownload file to use in your powerpoint presentation

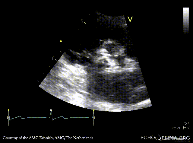
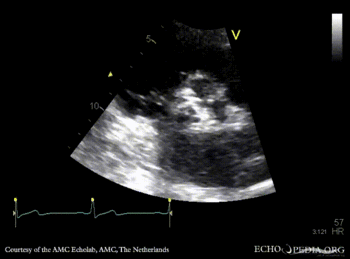
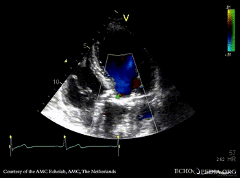
E00862.gif E00863.gif
PSAX: severe aortic valve stenosis A5CH with Color: mild aortic regurgitation
Magnifier.pngenlarge

Ppt logo.pngdownload file to use in your powerpoint presentation

Magnifier.pngenlarge

Ppt logo.pngdownload file to use in your powerpoint presentation

E00864.jpg
E00865.jpg
Continuous-wave Doppler signal of transaortic flow Pulsed-wave Doppler signal of flow in left ventricle outflow tract
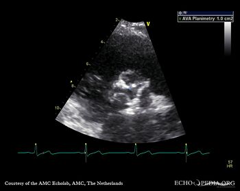
E00866.jpg
PSAX: planimetry of aortic valve area