Case 165
Jump to navigation
Jump to search
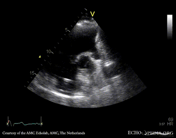
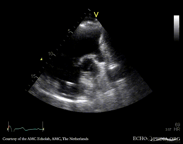
| Courtesy of: AMC Echolab, AMC, The Netherlands | |
| PSAX: aneurysm of right ventricle outflow tract in patient with tetralogy of Fallot | |