Open main menu
Home
Random
Log in
Settings
About Echopedia
Disclaimers
Echopedia
Search
Case 166
Language
Watch
Edit
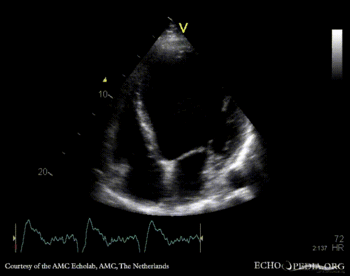
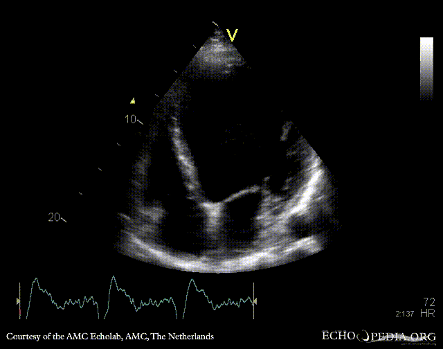
Dyssynchronie of left ventricle
Courtesy of:
AMC Echolab, AMC, The Netherlands
A4CH: dyssynchronie in contraction of left ventricle
enlarge
download file to use in your powerpoint presentation