Case 167

From Echopedia
Jump to navigation Jump to search
Double chambered right ventricle
Courtesy of: AMC Echolab, AMC, The Netherlands
E00869.gif
E00870.jpg
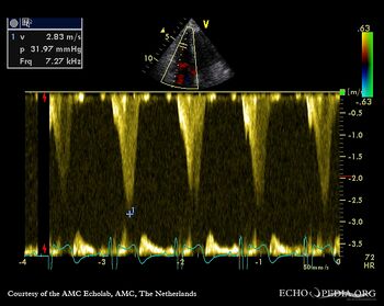
A4CH with Color Doppler: high velocity signal in right ventricle Continuous-wave Doppler signal of gradient in right ventricle
Magnifier.pngenlarge

Ppt logo.pngdownload file to use in your powerpoint presentation