Case 170

From Echopedia
Jump to navigation Jump to search
Diastloic dysfunction (pseudonormalisation)
Courtesy of: AMC Echolab, AMC, The Netherlands
E00880.gif E00881.gif
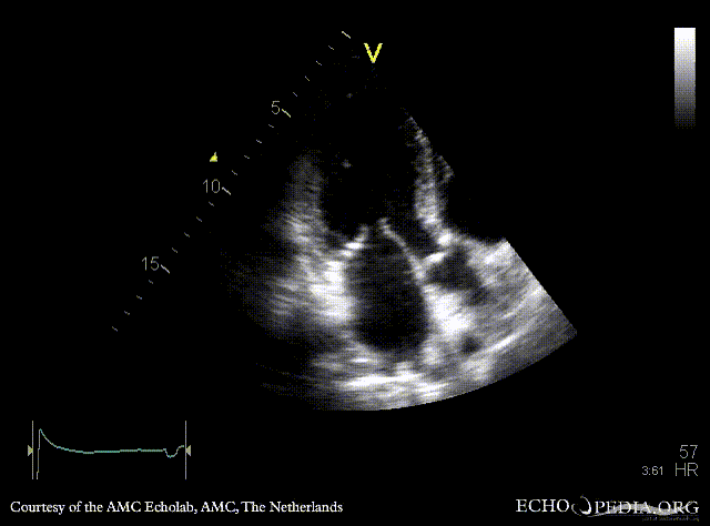
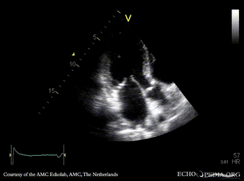
A4CH: normal systolic function of left ventricle A2CH
Magnifier.pngenlarge

Ppt logo.pngdownload file to use in your powerpoint presentation

Magnifier.pngenlarge

Ppt logo.pngdownload file to use in your powerpoint presentation

E00882.gif
E00883.jpg
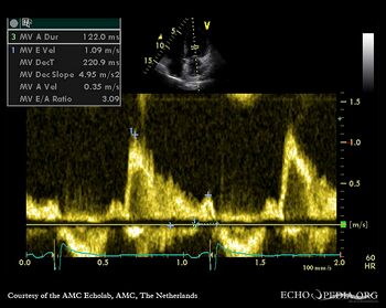
A3CH Pulsed-wave Doppler signal of mitral inflow: E>A
Magnifier.pngenlarge

Ppt logo.pngdownload file to use in your powerpoint presentation

E00884.jpg
E00885.jpg
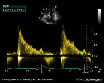
Pulsed-wave Doppler signal of mitral inflow Pulsed-wave Doppler signal of pulmonary venous flow: A