Case 171

From Echopedia
Jump to navigation Jump to search
Davids procedure
Courtesy of: AMC Echolab, AMC, The Netherlands
E00886.gif E00887.gif
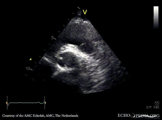
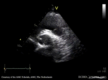
PLAX: native aortic valve and prosthesis in ascending aorta PLAX with Color Doppler
Magnifier.pngenlarge

Ppt logo.pngdownload file to use in your powerpoint presentation

Magnifier.pngenlarge

Ppt logo.pngdownload file to use in your powerpoint presentation

E00888.gif E00889.gif
PSAX: native aortic valve and prosthesis in ascending aorta PSAX with Color Doppler
Magnifier.pngenlarge

Ppt logo.pngdownload file to use in your powerpoint presentation

Magnifier.pngenlarge

Ppt logo.pngdownload file to use in your powerpoint presentation