Case 172

Heart device in left ventricle
Courtesy of: AMC Echolab, AMC, The Netherlands
E00890.gif E00891.gif
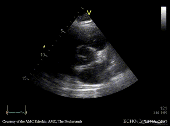
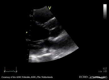
PLAX: no opening of aortic valve PLAX zoom
Magnifier.pngenlarge

Ppt logo.pngdownload file to use in your powerpoint presentation

Magnifier.pngenlarge

Ppt logo.pngdownload file to use in your powerpoint presentation

E00892.jpg
E00893.gif
M-Mode through aortic valve: no opening of aortic valve PSAX
Magnifier.pngenlarge

Ppt logo.pngdownload file to use in your powerpoint presentation

E00894.gif
PSAX with Color Doppler: mild aortic regurgitation
Magnifier.pngenlarge

Ppt logo.pngdownload file to use in your powerpoint presentation