Case 32
| Courtesy of: AMC Echolab, AMC, The Netherlands | |
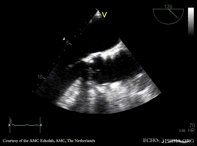
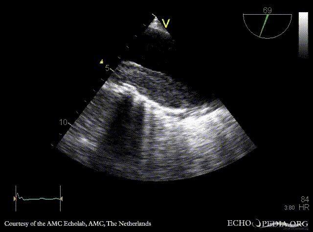
| TEE: dilated aorta | TEE: intramural hematoma of aorta |
| TEE: intramural hematoma of aorta | |
| Courtesy of: AMC Echolab, AMC, The Netherlands | |
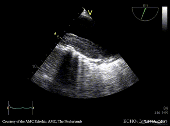
| TEE: dilated aorta | TEE: intramural hematoma of aorta |
| TEE: intramural hematoma of aorta | |