Case 33

From Echopedia
Jump to navigation Jump to search
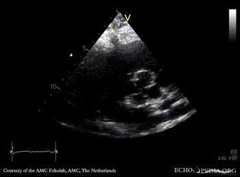
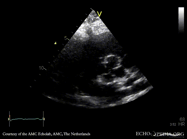
Quadricuspid aortic valve
Courtesy of: AMC Echolab, AMC, The Netherlands
E00250.gif E00251.gif
PLAX: dilated left ventricle and aortic root in patient with quadricuspid aortic valve PSAX: quadricuspid aortic valve
Magnifier.pngenlarge

Ppt logo.pngdownload file to use in your powerpoint presentation

Magnifier.pngenlarge

Ppt logo.pngdownload file to use in your powerpoint presentation