Case 34

From Echopedia
Jump to navigation Jump to search
Endocarditis of aortic valve
Courtesy of: AMC Echolab, AMC, The Netherlands
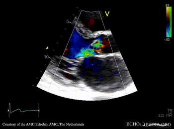
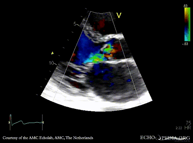
E00252.gif E00253.gif
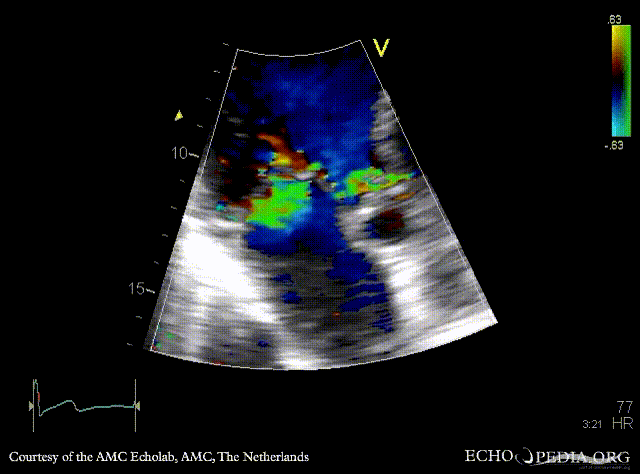
PLAX: vegetations on aortic valve, dilated left ventricle and left atrium PLAX: Color Doppler, severe aortic regurgitation, excentric jet, and moderate mitral regurgitation
Magnifier.pngenlarge

Ppt logo.pngdownload file to use in your powerpoint presentation

Magnifier.pngenlarge

Ppt logo.pngdownload file to use in your powerpoint presentation

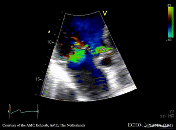
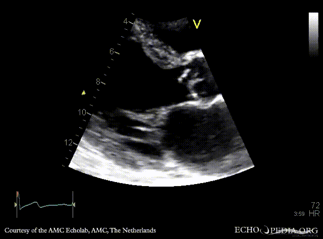
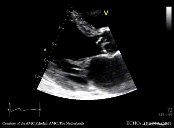
E00254.gif
E00255.jpg
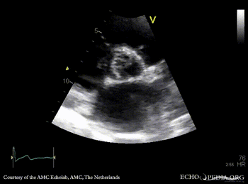
PSAX: thickend aortic valve M-Mode: dilated left ventricle
Magnifier.pngenlarge

Ppt logo.pngdownload file to use in your powerpoint presentation

E00256.gif
E00257.jpg
A3CH: Color Doppler, severe aortic regurgitation, excentric jet Continuous-wave signal of severe aortic regurgitation
Magnifier.pngenlarge

Ppt logo.pngdownload file to use in your powerpoint presentation

E00258.jpg
Subcostal view: pulsed-wave Doppler signal from abdominal aorta: diastolic flow reversal