Case 39

From Echopedia
Jump to navigation Jump to search
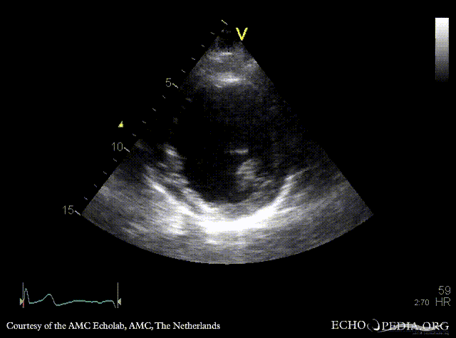
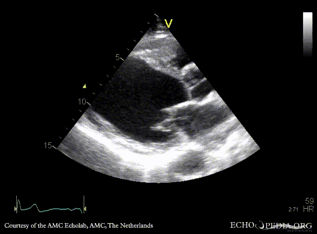
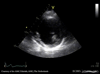
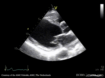
Apical aneurysm of LV
Courtesy of: AMC Echolab, AMC, The Netherlands
E00279.gif E00280.gif
PLAX: dilated left ventricle, apical aneurysm PSAX: dilated left ventricle, reduced function
Magnifier.pngenlarge

Ppt logo.pngdownload file to use in your powerpoint presentation

Magnifier.pngenlarge

Ppt logo.pngdownload file to use in your powerpoint presentation

E00281.gif E00282.gif
A4CH: dilated left ventricle, apical aneurysm A2CH: apical aneurysm
Magnifier.pngenlarge

Ppt logo.pngdownload file to use in your powerpoint presentation

Magnifier.pngenlarge

Ppt logo.pngdownload file to use in your powerpoint presentation