Case 40
Jump to navigation
Jump to search
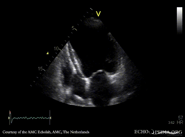
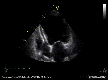
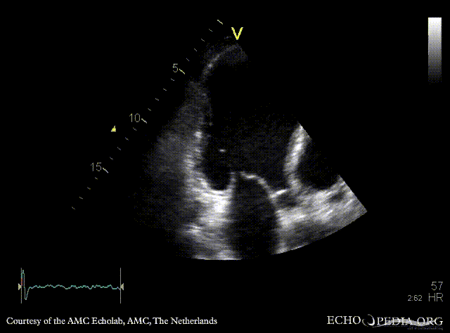
| Courtesy of: AMC Echolab, AMC, The Netherlands | |
| A4CH: apical aneurysm of left ventricle | A2CH: apical aneyrysm of left ventricle |
| A3CH | |