Open main menu
Home
Random
Log in
Settings
About Echopedia
Disclaimers
Echopedia
Search
Case 41
Language
Watch
Edit
Large aneurysm of LV
Courtesy of:
AMC Echolab, AMC, The Netherlands
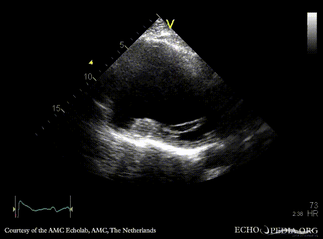
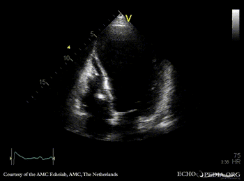
PLAX: large aneurysm of left ventricle
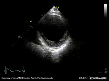
PSAX: dilated left ventricle, poor function
enlarge
download file to use in your powerpoint presentation
enlarge
download file to use in your powerpoint presentation
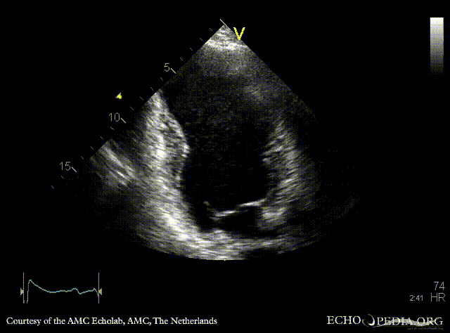
A4CH: large apical aneurysm of left ventricle, spontaneous echocontrast
A2CH
enlarge
download file to use in your powerpoint presentation
enlarge
download file to use in your powerpoint presentation
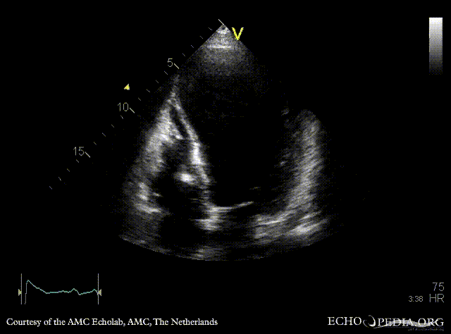
A3CH
enlarge
download file to use in your powerpoint presentation