Case 43

From Echopedia
Jump to navigation Jump to search
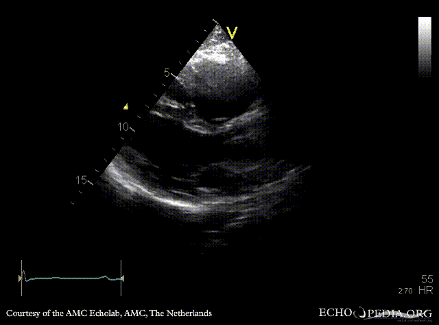
ARVD
Courtesy of: AMC Echolab, AMC, The Netherlands
E00297.gif E00298.gif
PLAX: right ventricle dilatation in patient with ARVD PSAX: dilated right ventricle
Magnifier.pngenlarge

Ppt logo.pngdownload file to use in your powerpoint presentation

Magnifier.pngenlarge

Ppt logo.pngdownload file to use in your powerpoint presentation

E00299.gif
A4CH: dilated right ventricle, reduced systolic function
Magnifier.pngenlarge

Ppt logo.pngdownload file to use in your powerpoint presentation