| Muscular VSD
|
|
|
| Courtesy of: AMC Echolab, AMC, The Netherlands
|
|
|
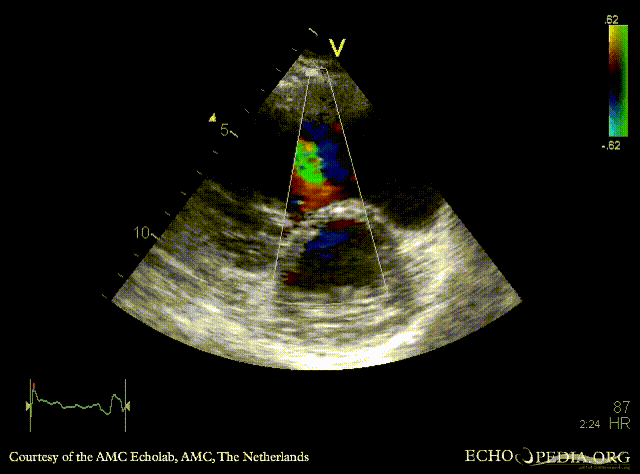
| PSAX: muscular VSD
|
Continuous-wave signal of VSD
|
enlarge
download file to use in your powerpoint presentation
|
|
|
|
|
|
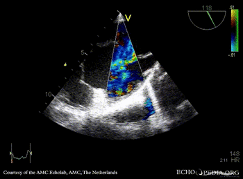
| A5CH: muscular VSD
|
TEE: ASD type II
|
enlarge
download file to use in your powerpoint presentation
|
enlarge
download file to use in your powerpoint presentation
|
|
|
|
|
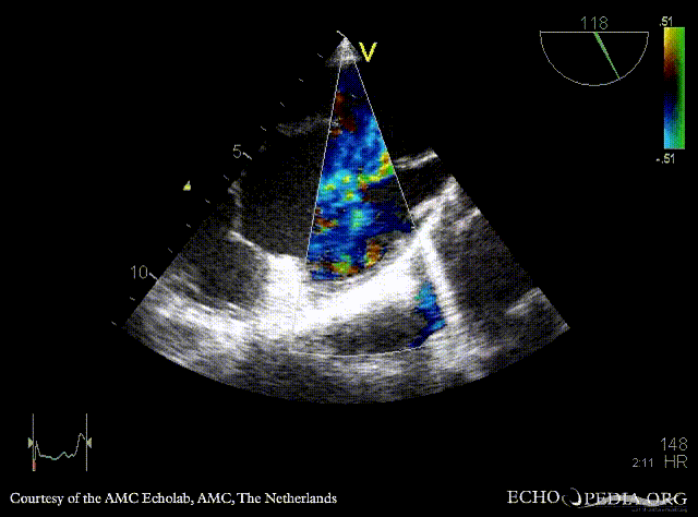
| TEE: muscular VSD
|
TEE: muscular VSD
|
enlarge
download file to use in your powerpoint presentation
|
enlarge
download file to use in your powerpoint presentation
|
|
|
|
|
|
|
|
|
|
|
|
|
|
|
|
|
|
|
|
|
|
|