Case 46

From Echopedia
Jump to navigation Jump to search
ASD type II
Courtesy of: AMC Echolab, AMC, The Netherlands
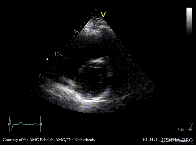
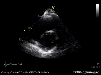
E00308.gif E00309.gif
PLAX: right ventricle enlargement in patient with ASD type II PSAX: right ventricle enlargement and diastolic flattening of the IVS
Magnifier.pngenlarge

Ppt logo.pngdownload file to use in your powerpoint presentation

Magnifier.pngenlarge

Ppt logo.pngdownload file to use in your powerpoint presentation

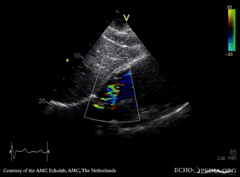
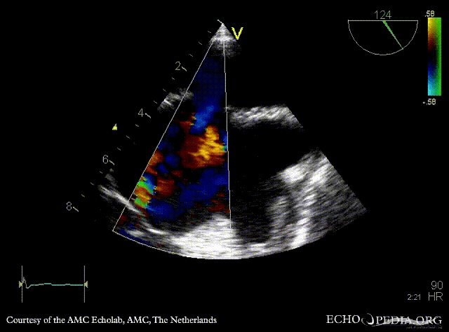
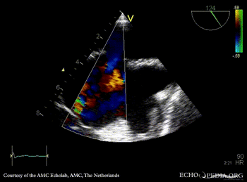
E00310.gif E00311.gif
Subcostal view: ASD type II TEE: ASD type II
Magnifier.pngenlarge

Ppt logo.pngdownload file to use in your powerpoint presentation

Magnifier.pngenlarge

Ppt logo.pngdownload file to use in your powerpoint presentation