| AVSD
|
|
|
| Courtesy of: AMC Echolab, AMC, The Netherlands
|
|
|
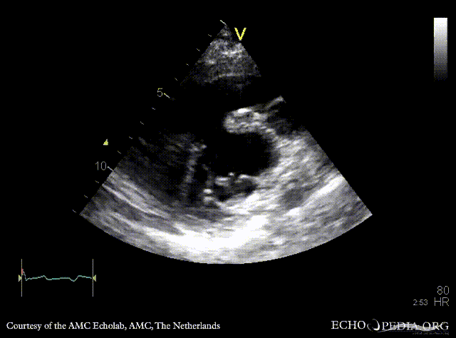
| PLAX: AVSD
|
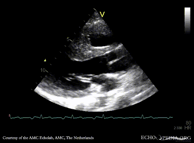
PSAX
|
enlarge
download file to use in your powerpoint presentation
|
enlarge
download file to use in your powerpoint presentation
|
|
|
|
|
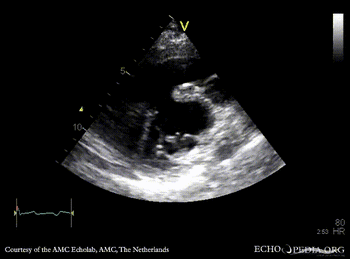
| A4CH: large AVSD
|
A4CH: Color Doppler signal of AVSD
|
enlarge
download file to use in your powerpoint presentation
|
enlarge
download file to use in your powerpoint presentation
|
|
|
|
|
| A4CH
|
A4CH: color Doppler of AV valve regurgitation
|
enlarge
download file to use in your powerpoint presentation
|
enlarge
download file to use in your powerpoint presentation
|
|
|
|
|
|
| Continuous-wave Doppler of AV valve regurgitation
|
|
|
|
|
|
|
|
|
|
|
|
|
|
|
|