Case 5

From Echopedia
Jump to navigation Jump to search
Four leaflet aortic valve
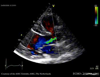
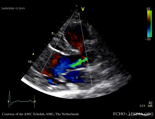
Case description: This patient had four aortic valve leaflets. Two aortic leaflets is a relatively common congenital anomaly. Four aortic valve leaflets is very rarely seen.
Courtesy of: Courtesy of J. Vleugels, AMC, The Netherlands
E00110.gif E00111.gif
PLAX showing concentric left ventricular hypertrophy PLAX shows aortic regurgitation
Magnifier.pngenlarge

Ppt logo.pngdownload file to use in your powerpoint presentation

Magnifier.pngenlarge

Ppt logo.pngdownload file to use in your powerpoint presentation

E00112.gif E00113.gif
PSAX through aortic valve, clearly showing four valve leaflets PSAX through aortic valve, clearly showing four valve leaflets
Magnifier.pngenlarge

Ppt logo.pngdownload file to use in your powerpoint presentation

Magnifier.pngenlarge

Ppt logo.pngdownload file to use in your powerpoint presentation