Case 50
Jump to navigation
Jump to search
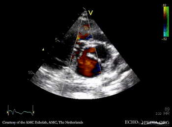
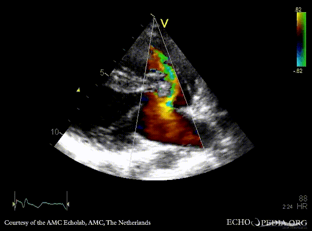
| Courtesy of: AMC Echolab, AMC, The Netherlands | |
| PLAX | PLAX: Color Doppler, ????? |
| PSAX: Color Doppler, ASD type I | A4CH: Color Doppler ASD type I |