Case 58
| Courtesy of: AMC Echolab, AMC, The Netherlands | |
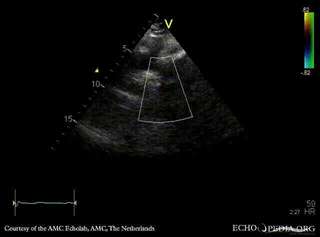
| Suprasternal view, Color Doppler in a patient with coarctatio aortae | Continuous-wave doppler: high velocity flow in descending aorta, sawtooth phenomenon |
| Courtesy of: AMC Echolab, AMC, The Netherlands | |
| Suprasternal view, Color Doppler in a patient with coarctatio aortae | Continuous-wave doppler: high velocity flow in descending aorta, sawtooth phenomenon |