Case 59

From Echopedia
Jump to navigation Jump to search
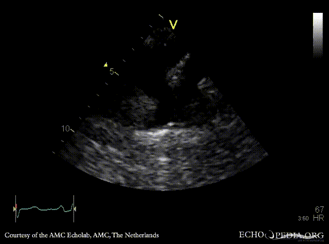
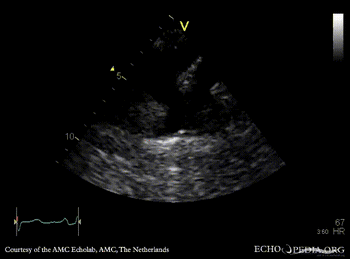
Coarctatio aortae
Courtesy of: AMC Echolab, AMC, The Netherlands
E00361.gif E00362.gif
Suprasternal view Suprasternal view: Collor Doppler, high velocity flow in descending aorta
Magnifier.pngenlarge

Ppt logo.pngdownload file to use in your powerpoint presentation

Magnifier.pngenlarge

Ppt logo.pngdownload file to use in your powerpoint presentation

E00363.jpg
Conituous-wave signal of coarctatio aortae, sawtooth phenomenon