Case 69

From Echopedia
Jump to navigation Jump to search
Ebstein anomaly
Courtesy of: AMC Echolab, AMC, The Netherlands
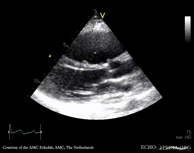
E00391.gif E00392.gif
PLAX: enlarged right ventricle in patient with Ebstein anomaly A4CH: high insertion of tricuspid valve, enlarged right atrium and right ventricle
Magnifier.pngenlarge

Ppt logo.pngdownload file to use in your powerpoint presentation

Magnifier.pngenlarge

Ppt logo.pngdownload file to use in your powerpoint presentation

E00393.gif
E00394.jpg
A4CH: Color Doppler, severe tricuspid regurgitation Continuous-wave signal of severe tricuspid regurgitation, pulmonary hypertension
Magnifier.pngenlarge

Ppt logo.pngdownload file to use in your powerpoint presentation