Case 74

From Echopedia
Jump to navigation Jump to search
Endocarditis of aortic valve
Courtesy of: AMC Echolab, AMC, The Netherlands
E00409.gif E00410.gif
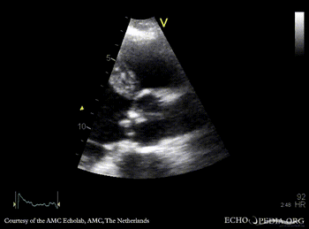
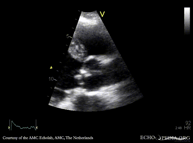
PLAX: vegetations on aortic valve PSAX: thickend bicuspid aortic valve
Magnifier.pngenlarge

Ppt logo.pngdownload file to use in your powerpoint presentation

Magnifier.pngenlarge

Ppt logo.pngdownload file to use in your powerpoint presentation

E00411.gif E00412.gif
A4CH: dilated left ventricle A5CH: vegetations on aortic valve, dilated left ventricle
Magnifier.pngenlarge

Ppt logo.pngdownload file to use in your powerpoint presentation

Magnifier.pngenlarge

Ppt logo.pngdownload file to use in your powerpoint presentation

E00413.gif
E00414.jpg
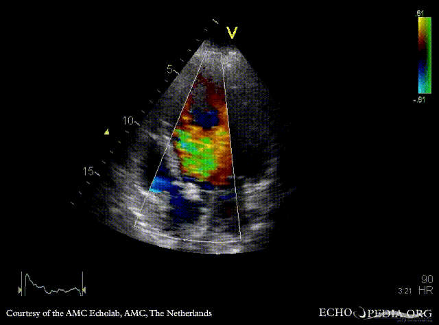
A4CH: Color Doppler, severe aortic regurgitation Continuous-wave doppler signal of severe aortic regurgitation
Magnifier.pngenlarge

Ppt logo.pngdownload file to use in your powerpoint presentation

E00415.jpg
Pulsed-wave signal of flow in abdominal aorta, diastolic flow reversal