Case 76

Endocarditis of mitral valve
Courtesy of: AMC Echolab, AMC, The Netherlands
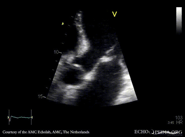
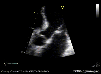
E00423.gif E00424.gif
A3CH: vegetations on AMVL A2CH
Magnifier.pngenlarge

Ppt logo.pngdownload file to use in your powerpoint presentation

Magnifier.pngenlarge

Ppt logo.pngdownload file to use in your powerpoint presentation

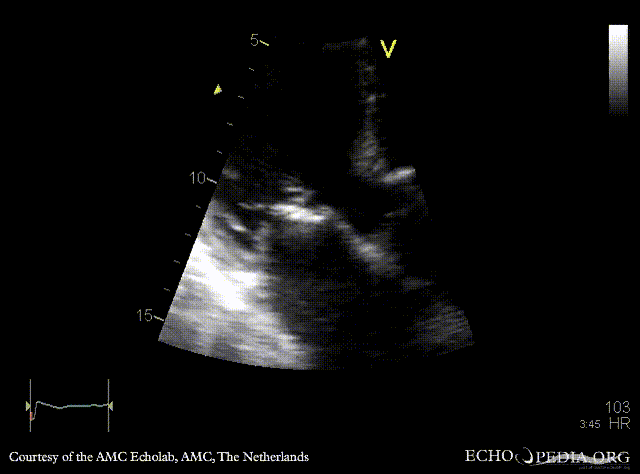
E00425.gif E00426.gif
A5CH A5CH: Color doppler, severe mitral regurgitation
Magnifier.pngenlarge

Ppt logo.pngdownload file to use in your powerpoint presentation

Magnifier.pngenlarge

Ppt logo.pngdownload file to use in your powerpoint presentation

E00427.gif
E00428.jpg
A3CH: Color doppler, severe mitral regurgitation Continuous-wave signal of tricuspid regurgitation, increased SPAP
Magnifier.pngenlarge

Ppt logo.pngdownload file to use in your powerpoint presentation