Case 77

From Echopedia
Jump to navigation Jump to search
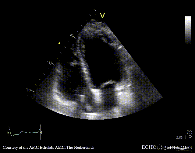
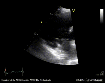
Endocarditis of pacemaker lead
Courtesy of: AMC Echolab, AMC, The Netherlands
E00429.gif E00430.gif
PSAX: mobile structure on pacemaker lead A4CH: mobile structure on pacemaker lead
Magnifier.pngenlarge

Ppt logo.pngdownload file to use in your powerpoint presentation

Magnifier.pngenlarge

Ppt logo.pngdownload file to use in your powerpoint presentation