Case 78

Severe aortic, mitral, tricuspid en pulmonary valve regurgitaiton
Courtesy of: AMC Echolab, AMC, The Netherlands
E00431.gif E00432.gif
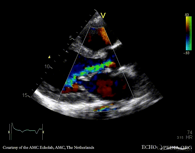
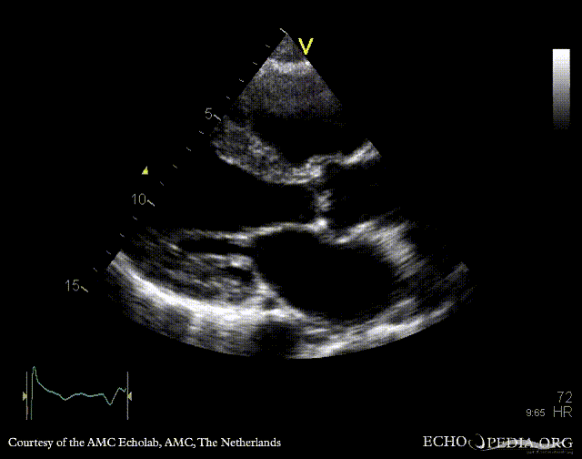
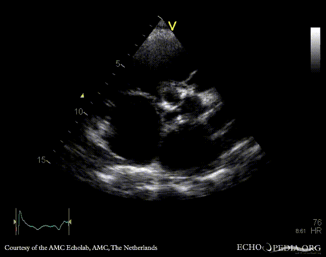
PLAX: thickend aortic valve and mitral valve PSAX: flattening of IAS, enlarged right ventricle
Magnifier.pngenlarge

Ppt logo.pngdownload file to use in your powerpoint presentation

Magnifier.pngenlarge

Ppt logo.pngdownload file to use in your powerpoint presentation

E00433.gif E00434.gif
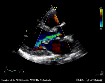
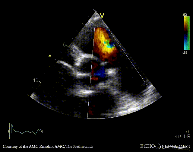
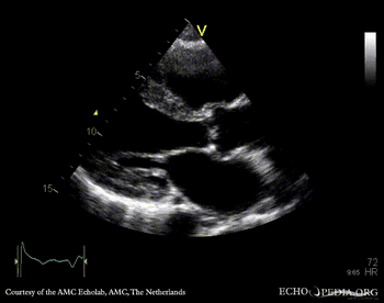
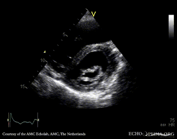
PSAX: thickend aortic valve PLAX: severe aortic and mitral regurgitation
Magnifier.pngenlarge

Ppt logo.pngdownload file to use in your powerpoint presentation

Magnifier.pngenlarge

Ppt logo.pngdownload file to use in your powerpoint presentation

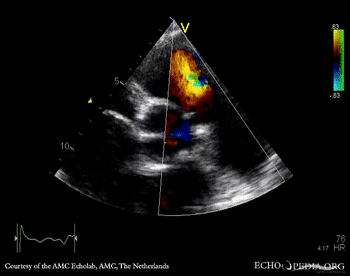
E00435.gif
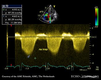
E00436.jpg
PSAX: severe pulmonary regurgitation Continuous-wave signal of severe pulmonary regurgitation
Magnifier.pngenlarge

Ppt logo.pngdownload file to use in your powerpoint presentation

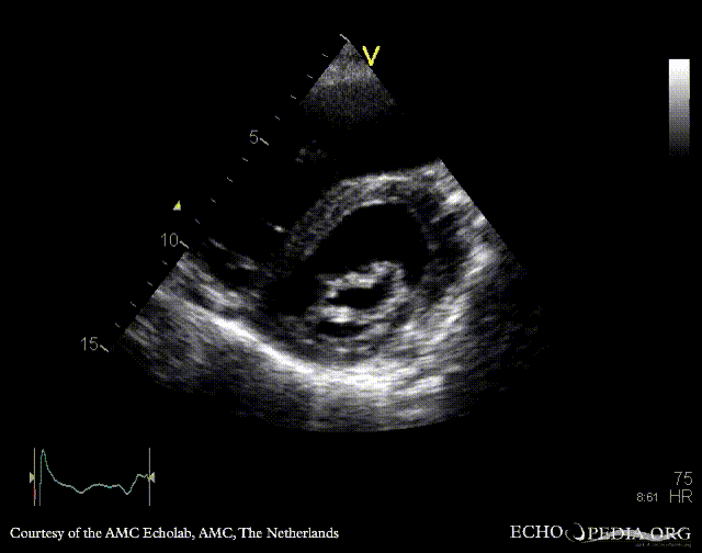
E00437.gif E00438.gif
A4CH: enlarged atria and ventricles A3CH: severe aortic and mitral regurgitation
Magnifier.pngenlarge

Ppt logo.pngdownload file to use in your powerpoint presentation

Magnifier.pngenlarge

Ppt logo.pngdownload file to use in your powerpoint presentation

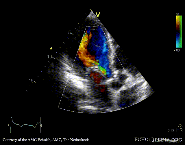
E00439.gif
E00440.jpg
A4CH: Color Doppler, severe tricuspid regurgitation Continuous-wave signal of tricuspid regurgitation, increased systolic pulmonary artery pressure
Magnifier.pngenlarge

Ppt logo.pngdownload file to use in your powerpoint presentation