Case 79

From Echopedia
Jump to navigation Jump to search
Dilated ascending aorta, severe aortic regurgitation
Courtesy of: AMC Echolab, AMC, The Netherlands
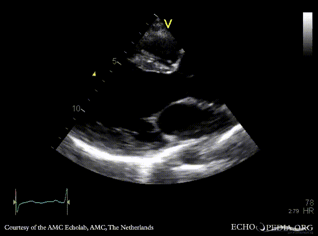
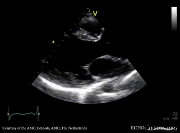
E00442.gif E00443.gif
PLAX: dilated left ventricle and ascending aorta in patient with Marfan syndrome PLAX: dilated ascending aorta
Magnifier.pngenlarge

Ppt logo.pngdownload file to use in your powerpoint presentation

Magnifier.pngenlarge

Ppt logo.pngdownload file to use in your powerpoint presentation

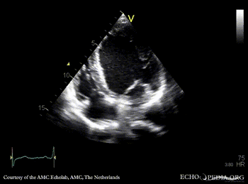
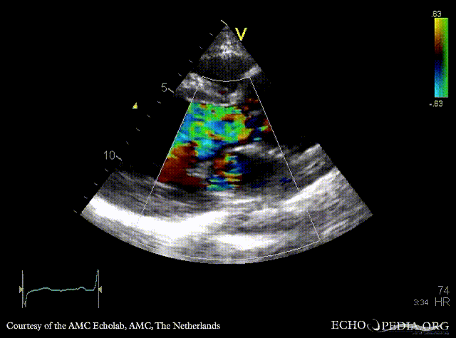
E00444.gif E00445.gif
PLAX: Color Doppler, severe aortic regurgitation A4CH: dilated left ventricle
Magnifier.pngenlarge

Ppt logo.pngdownload file to use in your powerpoint presentation

Magnifier.pngenlarge

Ppt logo.pngdownload file to use in your powerpoint presentation

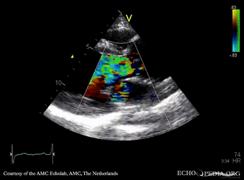
E00446.gif E00447.gif
A5CH A5CH: Color Doppler, severe aortic regurgitation
Magnifier.pngenlarge

Ppt logo.pngdownload file to use in your powerpoint presentation

Magnifier.pngenlarge

Ppt logo.pngdownload file to use in your powerpoint presentation

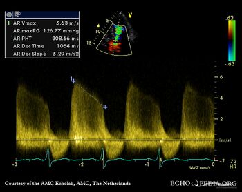
E00448.jpg
E00449.jpg
Continuous-wave signal of severe aortic regurgitation Pulsed-wave doppler from abdominal aorta, diastolic flow reversal