Case 80

From Echopedia
Jump to navigation Jump to search
Severe prolaps of PMVL
Courtesy of: AMC Echolab, AMC, The Netherlands
E00450.gif E00451.gif
PLAX: prolaps of PMVL, huge amount of pleural effusion PLAX: Color Doppler, severe mitral regurgitation, excentric jet
Magnifier.pngenlarge

Ppt logo.pngdownload file to use in your powerpoint presentation

Magnifier.pngenlarge

Ppt logo.pngdownload file to use in your powerpoint presentation

E00452.gif E00453.gif
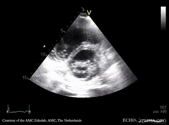
PSAX: flattening of IAS, enlarged right ventricle PSAX: prolaps of PMVL
Magnifier.pngenlarge

Ppt logo.pngdownload file to use in your powerpoint presentation

Magnifier.pngenlarge

Ppt logo.pngdownload file to use in your powerpoint presentation

E00454.gif E00455.gif
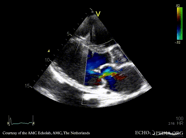
A4CH: prolaps of PMVL, enlarged left and right atrium, poor function of dilated right ventricle A4CH: Color doppler, severe mitral regurgitation
Magnifier.pngenlarge

Ppt logo.pngdownload file to use in your powerpoint presentation

Magnifier.pngenlarge

Ppt logo.pngdownload file to use in your powerpoint presentation

E00456.gif
E00457.jpg
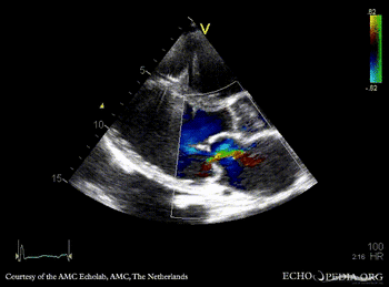
A4CH: moderate tricuspid regurgitation Coninuous-wave signal of moderate tricuspid regurgitation, increased systolic pulmonary artery pressure
Magnifier.pngenlarge

Ppt logo.pngdownload file to use in your powerpoint presentation

E00458.jpg
Pulsed-wave signal of pulmonary veins, decreased systolic flow