Case 82

From Echopedia
Jump to navigation Jump to search
Flail of mitral valve
Courtesy of: AMC Echolab, AMC, The Netherlands
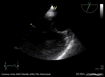
E00462.gif E00463.gif
PLAX: flail of mitral valve PLAX: prolaps of PMVL
Magnifier.pngenlarge

Ppt logo.pngdownload file to use in your powerpoint presentation

Magnifier.pngenlarge

Ppt logo.pngdownload file to use in your powerpoint presentation

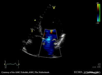
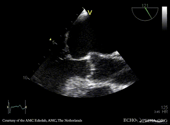
E00464.gif E00465.gif
PLAX: Color Doppler, severe mitral regurgitation, excentric jet A4CH: thickend PMVL, prolaps of PMVL
Magnifier.pngenlarge

Ppt logo.pngdownload file to use in your powerpoint presentation

Magnifier.pngenlarge

Ppt logo.pngdownload file to use in your powerpoint presentation

E00466.gif
E00467.jpg
A4CH: Color Doppler, severe mitral regurgitation, excentric jet Continuous-wave signal of tricuspid regurgitation, increased systolic pulmonary artery pressure
Magnifier.pngenlarge

Ppt logo.pngdownload file to use in your powerpoint presentation

E00468.gif E00469.gif
TEE: TEE: flail of mitral valve
Magnifier.pngenlarge

Ppt logo.pngdownload file to use in your powerpoint presentation

Magnifier.pngenlarge

Ppt logo.pngdownload file to use in your powerpoint presentation