Case 84

From Echopedia
Jump to navigation Jump to search
Dilated cardiomyopathy
Courtesy of: AMC Echolab, AMC, The Netherlands
E00473.gif E00474.gif
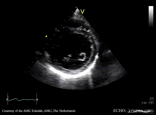
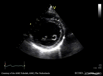
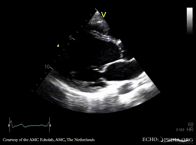
PLAX: dilated poor left ventricle in patient who receives chemotherapy PSAX: dilated poor left ventricle
Magnifier.pngenlarge

Ppt logo.pngdownload file to use in your powerpoint presentation

Magnifier.pngenlarge

Ppt logo.pngdownload file to use in your powerpoint presentation

E00475.gif E00476.gif
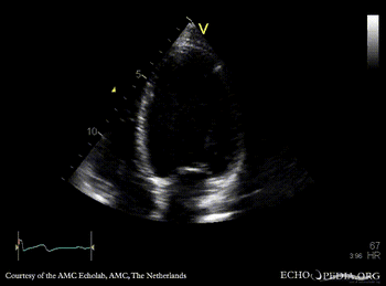
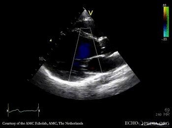
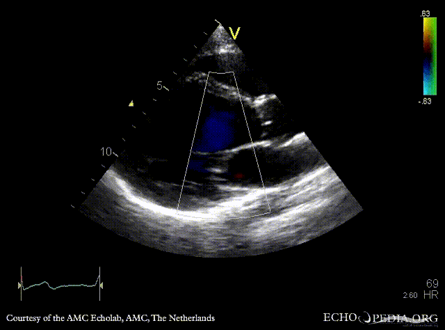
PLAX: Color Doppler, moderate mitral regurgitation A4CH: dilated poor left ventricle
Magnifier.pngenlarge

Ppt logo.pngdownload file to use in your powerpoint presentation

Magnifier.pngenlarge

Ppt logo.pngdownload file to use in your powerpoint presentation

E00477.gif E00478.gif
A2CH A3CH: Color Doppler, moderate mitral regurgitation
Magnifier.pngenlarge

Ppt logo.pngdownload file to use in your powerpoint presentation

Magnifier.pngenlarge

Ppt logo.pngdownload file to use in your powerpoint presentation

E00479.gif
A4CH: Color Doppler, moderate mitral regurgitation
Magnifier.pngenlarge

Ppt logo.pngdownload file to use in your powerpoint presentation