| Giant myxoma in right atrium
|
|
|
| Courtesy of: AMC Echolab, AMC, The Netherlands
|
|
|
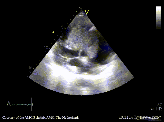
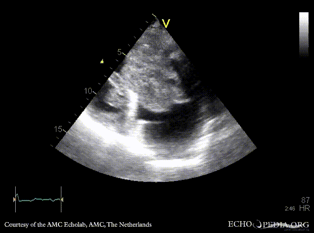
| PLAX: giant mobile myxoma in right atrium
|
PLAX
|
enlarge
download file to use in your powerpoint presentation
|
enlarge
download file to use in your powerpoint presentation
|
|
|
|
|
| PSAX
|
A4CH
|
enlarge
download file to use in your powerpoint presentation
|
enlarge
download file to use in your powerpoint presentation
|
|
|
|
|
| Subcostal view
|
|
enlarge
download file to use in your powerpoint presentation
|
|
|
|
|
|
|
|
|
|
|
|
|
|
|
|
|
|
|
|
|
|
|
|